대상포진은 수두-대상포진 바이러스가 신경절에서 재활성화되어 발생하는 질환으로, 몸의 한쪽에 나타나는 극심한 통증과 띠 모양의 발진이 특징이며, 치료 후에도 장기간 지속되는 신경통 등 심각한 합병증을 유발할 수 있어 조기 진단과 치료가 매우 중요합니다.

대상포진 주요 증상
초기에는 감기와 유사한 오한, 발열, 메스꺼움, 권태감, 피로감이 나타나며, 피부에 불쾌감과 함께 몸의 한쪽 편으로 심한 통증이나 감각 이상이 발생합니다. 통증은 아프거나 따끔거리는 느낌으로 시작되어, 발진이 생기기 약 4-5일 전부터 피부절을 따라 통증, 압통, 감각 이상이 나타날 수 있습니다.
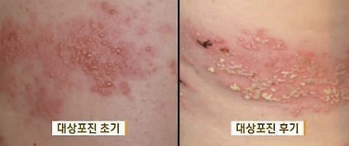
이후 1-3일이 지나면 붉은 반점 형태의 발진이 띠 모양으로 나타나고, 이는 곧 작고 물이 가득 찬 물집의 무리로 진행됩니다. 물집은 약 3-5일 동안 지속적으로 형성되며, 10-14일에 걸쳐 고름이 차고 딱지로 변하는 과정을 거칩니다. 드물게는 발진 없이 통증만 나타나는 무발진 대상포진도 있으며, 바이러스가 운동 신경을 침범하면 근육 약화나 마비가 동반될 수도 있습니다.


- 몸의 한쪽에 국한되는 심한 통증(따끔거림, 바늘로 찌르는 느낌, 타는 듯한 아픔)이 먼저 나타납니다.
- 1~5일 후 같은 부위에 붉은 반점이 나타나고, 이어 여러 개의 띠 모양 수포(물집)가 무리를 지어 생깁니다.
- 수포는 고통이 차거나 궤양이 생길 수도 있고, 약 2~3주간 딱지로 변하며 회복됩니다.
- 피부 주변이 가렵거나 감각이상(저림, 감각저하 등)이 동반될 수 있습니다.
- 통증이 매우 심해 잠을 이루지 못하거나 일상생활이 어려울 수 있습니다.
- 드물게 피부 발진 없이 통증만 있는 무발진 대상포진이 발생할 수 있습니다.
- 전신 증상으로는 피로감, 발열, 두통, 오심(메스꺼움), 오한 등 감기 유사 증상이 동반될 수 있습니다.
- 병변 부위에 따라 두통, 흉통 팔다리 저림, 근육통 등도 나타날 수 있습니다.
대상포진의 대표 증상은 한쪽에 국한된 통증과 띠 모양의 발진·수포임을 기억하는 것이 중요합니다.


피부 증상
- 주로 몸의 한쪽에 띠 모양으로 붉은 반점(발진)이 발생하고, 이어 해당 부위에 여러 개의 물집(수포)이 무리를 지어 나타납니다.
- 물집은 보통 10~14일 동안 고름이 차거나 탁해지다가 딱지로 변하며, 2~3주 이내에 호전됩니다.
- 피부 통증, 따끔거림, 가려운, 감각 이상 등이 동반되고, 신경절을 따라 국한되어 발생합니다.
- 물집이 터져 궤양이 생기거나, 농포(고름차는 수포) 형성 후 딱지가 됩니다.
- 가장 흔하게 흉부, 얼굴, 엉덩이 부위에 생기며, 신경이 있는 모든 부위에서 발생 가능합니다.
- 드물게 발진 없이 통증만 나타나는 무발진 대상포진도 있습니다.
대상포진의 피부병변은 띠를 이루며 신경 분포를 따라 나타나는 다발성 수포와 딱지 변화가 대표적입니다.
대상포진 통증이 오래가면 합병증 가능성 확인
피부 발진이 사라진 후에도 해당 부위에 극심한 통증이 지속되는 현상으로, 전통적으로는 6개월 이상 통증이 지속될 때 진단하지만 최근에는 3-4개월 또는 1개월부터도 조기 치료를 위해 진단하는 추세입니다. 이 합병증은 대상포진 환자의 약 10% 정도에서 발생하며, 특히 60세 이상에서는 발생률이 29.7%로 높아집니다.
통증의 양상은 불에 타는 듯한 작열통, 칼에 찔리는 듯한 난자통, 피부를 가볍게 스치기만 해도 통증이 느껴지는 이질통 등으로 다양하며, 마약성 진통제가 필요할 정도로 심한 경우도 있습니다. 이러한 극심한 통증은 수개월에서 수년간 지속될 수 있어 우울증, 수면장애 등 2차적인 정신건강 문제를 유발하고 삶의 질을 현저히 저하시킬 수 있습니다.
대상포진 후 신경통
- 피부 발진 후 1~3개월, 길게는 6개월 이상 지속적으로 통증이 남는 경우 '대상포진 후 신경통'으로 진단합니다.
- 이 신경통은 불에 타는 듯한, 전기가 오는 듯한, 혹은 칼로 찌르는 듯한 다양한 극심한 통증으로 나타나 일상생활에 큰 장애를 줄 수 있습니다.
- 감각 저하, 피부 가려움, 작은 자극에도 예민한 통증(이질통) 등이 동반될 수 있습니다.
주요 합병증
- 대상포진 후 신경통 이외에 운동신경 마비, 시각 장애, 귀신경 침범에 따른 청력 문제, 안면 신경 마비, 소화기 장애(위장폐쇄, 탈장 등) 등도 보고됩니다.
- 신경계에 따라 마비, 감각저하, 근육 약화 등 다양한 신경증상이 나타날 수 있습니다.
- 만성 통증은 우울증, 수면장애, 삶의 질 저하로 이어질 수 있습니다.
위험 요인 및 주의 사항
- 고령, 초기 통증과 발진이 심할 때, 면역이 약할 때, 얼굴이나 손 등 특정 부위에 발생했을 때 합병증 발생 가능성이 큽니다.
- 증상이 장기화된다면 신경과, 통증의학과 등 전문적 진료가 필요합니다.
대상포진과 수두의 차이점 정리
동일한 수두-대상포진 바이러스(VZV)가 원인이지만, 감염 시기와 증상 양상이 크게 다릅니다. 수두는 바이러스에 최초 감염될 때 발생하는 급성 질환으로, 주로 소아에게서 나타나며 전신에 물집과 가려움증을 동반한 발진이 발생합니다.
반면 대상포진은 과거 수두를 앓은 후 신경절에 잠복해 있던 바이러스가 면역력 저하 시 재활성화되면서 발생하며, 주로 50세 이상 성인에서 나타납니다. 전염성과 증상 분포에서도 차이를 보입니다. 수두는 전염력이 매우 강해 감수성이 있는 가족 구성원과 접촉 시 90%의 발생률을 보이지만, 대상포진은 물집 진물과의 직접 접촉 시에만 제한적으로 전염됩니다.
또한 수두는 전신적인 발진과 미열, 피로감이 특징인 반면, 대상포진은 몸의 한쪽 신경을 따라 띠 모양으로 나타나는 극심한 통증과 수포가 주요 증상이며, 치유 후에도 신경통 등 합병증이 흔하게 발생합니다.

간단 비교 정리
| 구분 | 수두 | 대상포진 |
| 발생 원인 | VZV에 최초 감염 | 소아기에 수두를 앓은 후, 바이러스가 재활성화 |
| 전염성 | 매우 강함 (호흡기·접촉으로 감염) | 전염성 약함, 물집 진물 접촉 시에만 제한적 전염 |
| 증상 | 전신의 발진·수포와 가려움, 미열 등 | 몸 한쪽 신경을 따라 띠 모양의 통증·수포, 감각 이상 |
| 발진 부위 | 얼굴·몸통 등 전신에 발생 | 주로 몸통, 얼굴 등 한쪽 신경절을 따라 띠 모양 |
| 주 연령대 | 주로 소아 | 주로 50대 이상 성인 |
| 합병증 | 드물게 폐렴·뇌염 등 가능 | 신경통(대상포진후신경통) 등 신경 합병증 흔함 |
- 수두는 대부분 소아에서 처음 나타나며 전신성 질환입니다.
- 대상포진은 과거 수두를 앓고 난 뒤 성인에서 나타나며 통증이 매우 심한 것이 특징입니다.
대상포진 초기 자가관리 방법
조기 발견 후 가장 중요한 것은 72시간 이내 항바이러스제 치료를 받는 것이지만, 병원 방문 전까지 적절한 자가관리로 증상 악화를 예방할 수 있습니다. 피부 병변 부위는 세균 감염 방지를 위해 깨끗하게 유지하고, 냉습포나 소독을 적용하되 심하게 긁지 않도록 주의해야 합니다.
통증 완화를 위해서는 충분한 휴식과 함께 일반 진통제(아세트아미노펜 등)를 복용할 수 있으며, 균형 잡힌 영양 섭취와 스트레스 최소화로 면역력을 유지하는 것이 중요합니다. 수두에 걸린 적이 없는 면역 저하자, 신생아, 임산부와의 접촉은 발진이 완전히 나을 때까지 피해야 하며, 물집 부위가 악화되거나 붓고 열감이 있으면 즉시 전문 진료를 받아야 합니다.
초기 자가관리 방법
- 피부 병변은 세균 감염을 막기 위해 항상 깨끗이 하고, 필요시 소독이나 냉습포를 해줍니다.
- 발진이 퍼져 딱지가 생길 때까지는 해당 부위를 심하게 긁지 않도록 주의하며, 피부를 건조하게 유지합니다.
- 통증이 심할 땐 일반 진통제(타이레놀 등)로 일시적으로 조절이 가능합니다.
- 충분한 휴식과 균형 잡힌 영양 섭취, 스트레스 최소화로 면역력을 유지해야 합니다.
주의사항 및 권장 치료
- 수포가 생긴 후 72시간(3일) 이내에 항바이러스제 치료를 시작하는 것이 빠른 회복과 합병증 예방에 매우 중요하므로 바로 병원을 방문해야 합니다.
- 물집 부위가 악화되거나 빨갛게 붓고 열감이 있으면 세균 감염이 동반될 수 있으니 즉시 전문 진료를 받아야 합니다.
- 수두에 걸린 적이 없는 면역 저하자, 신생아, 임산부와의 접촉은 발진이 낫기 전까지 피하는 것이 필요합니다.
참고
- 생활 속 예방법으론 손 씻기, 개인용품 공유 금지, 스트레스와 과로 피하기 등이 있습니다.
- 약물치료 외에 합병증 또는 통증이 심할 땐 전문가의 치료를 적극적으로 받아야 합니다.
신속한 진료와 항바이러스제 복용, 청결한 자가관리가 대상포진의 빠른 회복과 후유증 최소화에 핵심입니다.
★함께 읽으면 좋은 글★
혈당 스파이크 증상, 혈당 스파이크와 식곤증의 차이점 및 식습관과 예방법
혈당 스파이크란 식후 혈당이 급격히 치솟았다가 다시 저혈당으로 떨어지는 현상으로, 피로감, 참을 수 없는 졸음, 집중력 저하, 갈증, 빈뇨 등의 다양한 증상을 유발할 수 있습니다. 혈당 스파
joy.bhs0130.com
애드빌 진통제 효능, 주요 특성 및 주의사항 알아보기
애드빌(Advil)은 이부프로펜 성분의 비스테로이드성 소염진통제로, 15분 내에 빠르게 진통효과가 나타나는 특허받은 리퀴겔 기술을 적용한 글로벌 1위 진통제입니다. 애드빌 주요 효능 진통, 해열
joy.bhs0130.com
멜라토닌의 주요 기능과 효능, 의학적 사용 및 멜라토닌 보충제 총정리
멜라토닌은 뇌의 송과선에서 분비되는 '수면 호르몬'으로, 일주기 리듬을 조절하고 자연스러운 수면을 유도하는 핵심 역할을 합니다. 오늘은 멜라토닌의 효능, 보충제 및 불면증 치료 효과에 대
joy.bhs0130.com
'생활정보' 카테고리의 다른 글
| 카카오페이 민생회복 소비쿠폰(지원금) 신청방법 및 카카오페이 혜택 (6) | 2025.07.22 |
|---|---|
| 혈당 스파이크 증상, 혈당 스파이크와 식곤증의 차이점 및 식습관과 예방법 (5) | 2025.07.20 |
| 애드빌 진통제 효능, 주요 특성 및 주의사항 알아보기 (2) | 2025.07.18 |
| 마카다미아의 효능 10가지 및 하루 섭취량, 주의할점 알아보기 (4) | 2025.07.15 |
| 소상공인 부담경감 크레딧 지원 대상 및 조건, 신청 및 지급 방식 등 총정리 (3) | 2025.07.13 |
